Congo Red Amyloid Stain - Https Encrypted Tbn0 Gstatic Com Images Q Tbn And9gcq9dxg 0mip6ittwn9eb Xkjb1lsnqh58ffoypwfn0zstumcxo Usqp Cau - Stains up to 125 slides.
Dapatkan link
Facebook
X
Pinterest
Email
Aplikasi Lainnya
Congo Red Amyloid Stain - Https Encrypted Tbn0 Gstatic Com Images Q Tbn And9gcq9dxg 0mip6ittwn9eb Xkjb1lsnqh58ffoypwfn0zstumcxo Usqp Cau - Stains up to 125 slides.. Colours, namely green and yellow, were reported under these conditions in 1945, although these are only two of various anomalous. But in case of inadequate amyloid deposits, 10um thick sections will be more satisfactory. Abcam offers > 1,000 assay kits cited in > 3,500 publications. Although the specificity of congo red staining has generally been estimated to be high, the green birefringence of amyloid deposits can be confused with yellow birefringence of collagen, fibrin, or elastin fibers, resulting in false positives 2. Our hematoxylin and eosin staining kit makes it easy to produce reproducible, high quality h&e histology.
Kit supplies reagents for congo red stain used for amyloid detection. Our historical review on the use of cr staining for amyloid. But in case of inadequate amyloid deposits, 10um thick sections will be more satisfactory. Amyloid may be detected in tissue with congo red, a metachromatic anionic dye. Newcomer supply amyloid, bennhold congo red stain kit procedure, with included microwave modification, is used for identifying the extraneous protein deposits in amyloidosis.
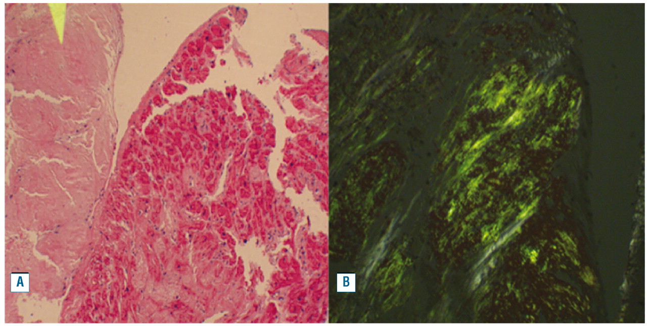
View Image from www.ijpmonline.org This stain demonstrates amyloid in pink to dark pink with light (bright field). Its solubility is greater in organic solvents. Congo red, despite having lower sensitivity, is the standard agent used to identify amyloid in tissues. A section of a biopsy with abundant amyloid in the muscle is used as a positive control when a new congo red staining solution is prepared. Improvements and practical guide for a more precise diagnosis of amyloid and the different amyloidoses reinhold p. The kit contains everything needed for hematoxylin and eosin staining and is intended for. Examination under a polarizing microscope results in green birefringence of amyloid. Amyloid is an abnormal protein product that can be found in various pathologic conditions.
Congo red, despite having lower sensitivity, is the standard agent used to identify amyloid in tissues.
Ore than 100 years after its discovery. But in case of inadequate amyloid deposits, 10um thick sections will be more satisfactory. The amyloid deposits will be stained red and the nuclei will be stained blue. Congo red stain kit is used to identify amyloid in tissue sections on artisan link and artisan link pro staining systems. Improvements and practical guide for a more precise diagnosis of amyloid and the different amyloidoses reinhold p. Congo red, despite having lower sensitivity, is the standard agent used to identify amyloid in tissues. Amyloid is an abnormal protein product that can be found in various pathologic conditions. Congo red stain is the gold standard for the demonstration of amyloid in tissue sections. In the present paper, we describe the characteristics and limitations of other methods used for amyloid studies. The kit contains everything needed for hematoxylin and eosin staining and is intended for. Congo red was discovered to stain amyloid by accident in 1922, and congo red‐stained amyloid was shown to be birefringent on polarization microscopy in 1927. It is used to evaluate the presence and extent of amyloidosis in different organs. The use of polarizing lenses is an essential technique for visualizing amyloid positive areas and/or to confirm.
Examination under a polarizing microscope results in green birefringence of amyloid. Amyloid may be detected in tissue with congo red, a metachromatic anionic dye. 1 congo red staining of amyloid: Our hematoxylin and eosin staining kit makes it easy to produce reproducible, high quality h&e histology. Amyloid refers to the abnormal, fibrous, extracellular proteinaceous deposits found in organs such as liver, kidneys, spleen etc.
Pathology Outlines Congo Red from www.pathologyoutlines.com This condition of deposition of amyloid in tissues is known as amyloidosis. Abstract congo red (cr) is the most popular dye used as a probe for diagnosing amyloidosis, a very heterogeneous group of diseases. Abcam offers > 1,000 assay kits cited in > 3,500 publications. Its solubility is greater in organic solvents. Amyloid stained with congo red is known to interact with polarized light producing an apple green birefringence signal. Amyloid may be detected in tissue with congo red, a metachromatic anionic dye. Congo red, despite having lower sensitivity, is the standard agent used to identify amyloid in tissues. Congo red stain stock sodium chloride.
A section of a biopsy with abundant amyloid in the muscle is used as a positive control when a new congo red staining solution is prepared.
Stains up to 125 slides. Newcomer supply amyloid, bennhold congo red stain kit procedure, with included microwave modification, is used for identifying the extraneous protein deposits in amyloidosis. A section of a biopsy with abundant amyloid in the muscle is used as a positive control when a new congo red staining solution is prepared. The use of polarizing lenses is an essential technique for visualizing amyloid positive areas and/or to confirm. In the present paper, we describe the characteristics and limitations of other methods used for amyloid studies. Congo red stain stock sodium chloride. Congo red stain kit is used to identify amyloid in tissue sections on artisan link and artisan link pro staining systems. Congo red staining kit kit for the detection of amyloid acc. Congo red staining kit msds (material safety data sheet) or sds, coa and coq, dossiers, brochures and other available documents. Staining with congo red (cr) is a qualitative method used for the identification of amyloids in vitro and in tissue sections. Amyloid may be detected in tissue with congo red, a metachromatic anionic dye. Its solubility is greater in organic solvents. The demonstration of amyloid protein in a tissue biopsy specimen by staining with congo red and examination by polarized light microscopy is required for a.
Amyloid stained with congo red is known to interact with polarized light producing an apple green birefringence signal. The use of polarizing lenses is an essential technique for visualizing amyloid positive areas and/or to confirm. Newcomer supply amyloid, bennhold congo red stain kit procedure, with included microwave modification, is used for identifying the extraneous protein deposits in amyloidosis. Congo red stains amyloid in tissue sections. But in case of inadequate amyloid deposits, 10um thick sections will be more satisfactory.
Surgipath Congo Red Amyloid Special Stain Kit Leica Vwr from us.vwr.com But in case of inadequate amyloid deposits, 10um thick sections will be more satisfactory. Although the specificity of congo red staining has generally been estimated to be high, the green birefringence of amyloid deposits can be confused with yellow birefringence of collagen, fibrin, or elastin fibers, resulting in false positives 2. Congo red stain stock sodium chloride. Our historical review on the use of cr staining for amyloid. Amyloid stain kit used in the detection of amyloid in formalin fixed paraffin embedded (ffpe) tissue sections as well as frozen tissue.recommended section control tissue: Ore than 100 years after its discovery. Stain amyloid with congo red stain kit ab150663. Congo red, despite having lower sensitivity, is the standard agent used to identify amyloid in tissues.
This stain demonstrates amyloid in pink to dark pink with light (bright field).
Colours, namely green and yellow, were reported under these conditions in 1945, although these are only two of various anomalous. Amyloid deposits can be differentiated from other. Discover the congo red stain made by diapath: Congo red histological staining technique is the gold standard technique for the diagnosis of. Congo red stain is the gold standard for the demonstration of amyloid in tissue sections. Although the specificity of congo red staining has generally been estimated to be high, the green birefringence of amyloid deposits can be confused with yellow birefringence of collagen, fibrin, or elastin fibers, resulting in false positives 2. Abcam offers > 1,000 assay kits cited in > 3,500 publications. Kit supplies reagents for congo red stain used for amyloid detection. It is used to evaluate the presence and extent of amyloidosis in different organs. Newcomer supply amyloid, bennhold congo red stain kit procedure, with included microwave modification, is used for identifying the extraneous protein deposits in amyloidosis. Stain amyloid with congo red stain kit ab150663. In the present paper, we describe the characteristics and limitations of other methods used for amyloid studies. Congo red, despite having lower sensitivity, is the standard agent used to identify amyloid in tissues.
Amyloid stain kit used in the detection of amyloid in formalin fixed paraffin embedded (ffpe) tissue sections as well as frozen tissuerecommended section control tissue: congo red amyloid. The amyloid deposits will be stained red and the nuclei will be stained blue.
Nasonex Nasal Spray Price In India - Saving Huge on Nasonex Nasal Spray (Mometasone) from Our ... / Nasonex nasal spray can effectively treat and prevent the symptoms of allergic rhinitis. . The top countries of suppliers are india, china, and. Nasonex allergy is a once a day nasal spray which offers powerful treatment and prevention of tough hayfever symptoms without a prescription, helping to free you from. Nasonex nasal spray (mometason) is prescribed to prevent and treat allergy symptoms. Shop for nasal sprays in allergy and sinus. Nasonex nasal spray can effectively treat and prevent the symptoms of allergic rhinitis. The top countries of suppliers are india, china, and. Find here listings of nasal spray manufacturers, nasal spray suppliers and dealers. Nasonex nasal spray and the generic mometasone are both available in the dosage of 50 mcg/140 dose the mometasone spray from india comes in the strength of 50 mcg/100 dose nasal spray. Nasonex nasal spray can eff...
Bavarese Allo Yogurt | Una volta amalgamato il composto versarlo in uno stampo da budino e far riposare la bavarese allo yogurt in frigo per almeno 3 ore. Yogurt intero 600 gr pesche 300 gr fragole 200 gr colla di pesce 6 fogli fragoline di bosco 10 zucchero a velo 80 gr menta. Fresco e delicato anche in estate, è. La bavarese allo yogurt ha un sapore fresco ma una consistenza grassa e cremosa, golosissima; Freddo unite lo yogurt, amalgamate bene e disponete in un unico stampo o sei stampini monodose inumiditi. Per la ricetta della bavarese di albicocche e crema allo yogurt, portate al bollore lo zucchero semolato con g 200 di acqua, quindi unite g 500 di albicocche, snocciolate e tagliate a tocchetti, cuocetele per. Bavarese allo yogurt al profumo di vaniglia e confettura di more. La bavarese di yogurt si accompagna e si presenta molto bene con una salsa tiepida o fredda di fragole e/o mirtilli (o un altro frutto di bosco a piacere). Mettete la gelatina in ammollo ...
Komentar
Posting Komentar